Icon New game New game

Axial Abdomen

Map Quiz

(1)
Label the anatomy correctly

Download the paper version to play

301 times made

Created by

United States

Top 10 results

  1. 1
    00:40
    time
    100
    score
  2. 2
    00:43
    time
    100
    score
  3. 3
    00:44
    time
    100
    score
  4. 4
    00:48
    time
    100
    score
  5. 5
    00:59
    time
    93
    score
  6. 6
    01:01
    time
    93
    score
  7. 7
    00:58
    time
    89
    score
  8. 8
    emily
    emily
    01:04
    time
    86
    score
  9. 9
    02:10
    time
    71
    score
Do you want to stay in the Top 10 of this game? to identify yourself.
Make your own free game from our game creator
Compete against your friends to see who gets the best score in this game

Top Games

  1. time
    score
  1. time
    score
time
score
time
score
 
game-icon

Axial AbdomenOnline version

Label the anatomy correctly

by kayla Jackson
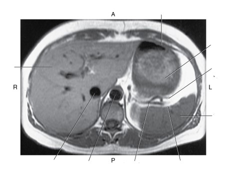
1 Greater Omentum 2 stomach 3 spleen 4 splenic vein 5 aorta 6 IVC 7 liver