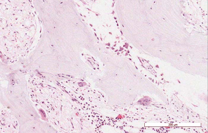
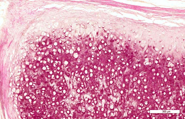
CH Tejido oseo y cartílagoOnline version Contesta adecuadamente by Brian Hesús Ambrocio Miranda 1 A qué corresponde la siguiente imagen a Hueso compacto b Hueso esponjoso c Hueso reticular 2 A qué corresponde la siguiente imagen a Cartílago hialino b Cartílago articular c Cartilago elástico d Fibrocartilago 3 A qué corresponde la siguiente imagen a Cartilago hialino b Cartilago elastico c Cartilago elástico d Fibrocartilago 4 A qué corresponde la siguiente imagen a Cartilago hialino b Cartilago elastico c Cartilago fibroso 5 A qué corresponde la siguiente imagen a Cartilago hialino b Cartilago elastico c Tejido conjuntivo laxo d Fibrocartilago 6 A qué corresponde la siguiente imagen a Musculo estriado esquelético b Cartilago elastico c Hueso reticular d Hueso esponjoso 7 A qué corresponde la siguiente imagen a Hueso compacto b Hueso esponjoso c Cartilago fibroso 8 A qué corresponde la siguiente imagen a Epitelio plano simple + Cartilago elastico b Epitelio cilindrico psudoestratificado + cartilago elastico c Epitelio cilindrico simple´+ cartilago hisalino d Epitelio cilindrico pseudoestratificado + cartilago hialino 9 A qué corresponde la siguiente imagen a Hueso compacto b Hueso esponjoso c Hueso trabecular d Hueso reticular 10 A qué corresponde la siguiente imagen a Hueso compacto b Hueso esponjoso c Hueso trabecular d Hueso reticular 11 Sintetizan osteoide e intervienen en la mineralización; se encuentran alineados a lo largo de superficies óseas. a Osteoclastos b Osteocitos c Osteoblastos 12 Prácticamente inactivos atrapa dos en el interior del hueso formado; pueden ayudar a la nutrición del hueso. a Osteoclastos b Osteocitos c Osteoblastos 13 Células fagocitarias capaces de erosionar el hueso y que, junto con los osteoblastos, son importantes en el recambio y la remodelación constantes del hueso. a Osteoclastos b Osteocitos c Osteoblastos 14 Hormona que estimula la resorción osteoclástica a Calcitonina b Hormona paratiroidea c Calretinina 15 Está constituido por una red de finas láminas irregulares llamadas trabéculas, separadas por espacios intercomunicados a Hueso compacto b Hueso esponjoso c Cartilago elástico d Hueso reticular 16 El colágeno del hueso se encuentra casi exclusivamente en forma de fibras de tipo: a I b II c III d IV 17 El colágeno y los demás componentes orgánicos de la matriz son sintetizados en el retículo endoplásmico rugoso de los osteoblastos, se concentran en el aparato de Golgi y se secretan desde la superficie celular, dando lugar a la producción de a Cemento b Hueso calcificado c Osteoide d Colágeno resistente 18 En este modo de crecimiento las células mesenquimales se diferencian a osteoblastos, que comienzan la síntesis y secreción de osteoide en múltiples centros de osificación. a Osificación intramembranosa b Osificación laminar c Osificación endocondral 19 En este modo de crecimiento se forma un molde pequeño del hueso largo con cartílago hialino sólido. Éste experimenta un crecimiento fundamentalmente aposicional hasta dar lugar a una masa de cartílago alargada, con forma de reloj de arena, consistente en un tallo y unas futuras porciones articulares, rodeadas por pericondrio a Osificación intramembranosa b Osificación laminar c Osificación endocondral 20 En esta zona de crecimiento epifisiario los grupos de células cartilaginosas experimentan divisiones mitóticas sucesivas formando columnas de condrocitos separados por una matriz fuertemente teñida rica en proteoglucanos. a Maduración b Hipertrofia c Degeneración d Proliferación 21 En esta zona de crecimiento epifisiario los condrocitos aumentan mucho de tamaño y son vacuolados, mientras que la matriz se calcifica. a Proliferacion b Hipertrofia c Degeneración d Maduración 22 Presente en los discos Intervertebrales y las sínfisis. Características Intermedias entre el cartílago hialino y el tejido conjuntivo denso regular. Abundante colágeno. a Cartilago hialino b Cartilago elastico c Fibrocartilago 23 Forma parte de la laringe y el oído externo. Parecido al cartílago hialino, pero con abundantes fibras elásticas. a Cartilago hialino b Cartilago elastico c Fibrocartilago Explicación 3 El fibrocartílago tiene características intermedias entre el cartílago y el tejido conjuntivo denso. Se encuentra en los discos intervertebrales, en algunos cartílagos articulares, en la sínfisis del pubis y asociado al tejido conjuntivo denso de las cápsulas articulares, los ligamentos y las inserciones de algunos tendones a los huesos. 4 El fibrocartílago tiene características intermedias entre el cartílago y el tejido conjuntivo denso. Se encuentra en los discos intervertebrales, en algunos cartílagos articulares, en la sínfisis del pubis y asociado al tejido conjuntivo denso de las cápsulas articulares, los ligamentos y las inserciones de algunos tendones a los huesos. 5 Las divisiones mitóticas posteriores originan agregados de condroblastos dispuestos densamente que crecen y comienzan a sintetizar la sustancia fundamental y el material extracelular fibroso. 9 El hueso está formado por células y una matriz extracelular predominantemente fiíjrosa (colágeno tipo I) denominada osteoid e que se mineraliza por depósito de h id roxiap atita calcica, gracias a la cual el hueso goza de una rigidez y una fuerza considerables. 10 El hueso forma el fuerte y rígido endoesqueleto al que se unen los músculos que hacen posible el movimiento. También actúa como reservorio de calcio y es importante en la homeostasis de dicho ion. 11 El hueso es pesado, pero su arquitectura es óptima para proporcionar un máximo de fuerza con un peso mínimo. Casi todos los huesos constan de una capa externa densa y rígida de hueso compacto, la corteza, y una zona m edular o espon josa central, de finas y estrechas trabéculas óseas interconectadas. 14 Incrementa la liberación de iones calcio del hueso, mientras que la calcitonina inhibe la actividad de los osteoclastos 15 El hueso compacto forma las densas paredes de la diáfisis, mientras que el hueso esponjoso ocupa parte de la gran cavidad medular central 16 El colágeno constituye más de un 90% del componente orgánico y el resto corresponde a los proteoglucanos de la sustancia fundamental y a un grupo de moléculas no cola- génicas, que parecen intervenir en la regulación de la mineralización del hueso 19 La osificación endocondral es un método de formación de hueso que permite a éste soportar las fuerzas de tensión funcionales durante su crecimiento