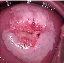
EL CÁNCEROnline version CONOCIMIENTOS RELACIONADOS CON EL CÁNCER by Albita Andrade 1 Corresponde a una característica de los tumores benignos. a Produce metástasis b Suceptible a extirpación c Crecimiento rápido d Puede provocar la muerte 2 Factores que inciden al desarrollo del cáncer Escoge una o varias respuestas a Activación de oncogenes b Alimentación basada en proteínas y carbohidratos c Predisposición genética d Inactivación de antioncogenes. e Presencia de protooncogen. f Acción de genes de mantenimiento 3 Tipo de tumor a la que corresponde la imagen a benigno b maligno 4 Tumor presente en el tejido fibroso a condroma b adenoma c fibroma d metástasis 5 Corresponden a características de los tumores malignos Escoge una o varias respuestas a Las células se desplazan mediante los vasos sanguíneos y linfáticos. b Tiene cromatina gruesa y rugosa y diferentes husos mitóticos. c Pueden provocar dolor del órgano o tejido donde se encuentran. d Pueden crecer en cualquier parte del cuerpo. e Forman su propio sistema circulatorio de vasos sanguíneos que les proveen de alimento. f Se ubican en un sitio determinado 6 Determina metástasis lejos del órgano diana. a RADIOLOGÍA (RAYOS X) b CITOLOGÍA DE FLEMA c BRONCOSCOPIA d RESONANCIA MAGNÉTICA 7 A qué etapa de cáncer de pulmón corresponde la imagen. a ETAPA PRE 0: Células cancerosas en flema, no hay tumor b ETAPA 1: Tumor localizado y recubrimiento normal c ETAPA 3: Metástasis a ganglios, diafragma, ganglios torácicos y cuello. d ETAPA 4: Metástasis a otros órganos 8 Son factores de riesgo del cáncer hepático excepto: a CIRROSIS b Esteroides c TABAQUISMO d HAV 9 A qué tipo de cáncer uterino corresponde. a SARCOMAS UTERINOS b CARCINOMAS ENDOMETRIALES c CÁNCER DE ENDOMETRIO 10 Corresponde a factores predisponentes al cáncer de útero. Escoge una o varias respuestas a niveles de estrógenos b Juventud c Menopausia cambio el valor de estrógenos d Ovarios poliquísticos e Fertilidad f Peso normal 11 Serotipos de HPV causante del cáncer uterino Escoge una o varias respuestas a 6 b 16 c 11 d 18 12 Corresponden a factores de riesgos ambientales del cáncer uterino Escoge una o varias respuestas a VPH b Anticonceptivos hormonales c Predisposición genética d coito vaginal y rectal e Tabaquismo f Inicio temprano de la actividad sexual 13 La muestra para el Papanicolau se toma de: a endometrio b útero c cuello uterino d vagina 14 La imagen es tomada gracias al siguiente examen diagnóstico: a Papanicolau b Tomografía c Colposcopia d Criocongelación 15 Cáncer con alto riesgo de metástasis por los ganglios que rodean el órgano diana. a Pulmón b Útero c Ovario d Seno 16 El cáncer muestra inflamación del seno, picazón, piel rugosa y gruesa. Corresponde a un tipo de cáncer: a CARCINOMA DUCTAL (DUCTO) NO INVASIVO b CARCINOMA DUCTAL INVASIVO c CARCINOMA LOBULILLAR d CÁNCER INFLAMATORIO 17 Son factores de riesgo del cáncer de seno excepto: a Menopausia b Exposición a radiaciones c Adolescencia y juventud d Género 18 Corresponde a síntoma de cáncer de mama a Secreciones anormales b Presencia de masas c Dolor en el pezón d Enrojecimiento del seno 19 La imagen corresponde a: a Mamografía b Autoexamen de senos c Radiografía d ecografía 20 El grado 2 del cáncer de útero corresponde a: a Se disemina de forma lenta b Agresivo y de pronóstico desfavorable c Se disemina por el cuerpo Explicación 1 Primeros tumores vistos en clase 2 Se pregunta sobre situaciones que desencadenan el cáncer 3 Considerar tamaño, bordes, forma 4 Cada tumor se nombra según su ubicación 5 Se refiere a tumores no favorables para la persona 6 Órgano diana es el órgano afectado. 7 Fíjese en las partes anatómicas afectadas. 8 Se pide escoja la que NO afecta. 9 Observe la ubicación de los tumores 10 Factores que desarrollan este cáncer 11 No todos los serotipos causan cáncer 12 Se pide factores AMBIENTALES 13 Se solicita lugar de raspado para el examen. 14 Examen que puede mostrar el epitelio de esta forma 15 Metástasis significa que se puede diseminar 16 Suele ser muy letal. 17 Se solicita el que NO provoca. 18 Se pregunta SÍNTOMA 19 Se debe hacer continuamente en casa. 20 Se pide el grado 2