Icon New game New game

Médula Ósea

Quiz

Imágenes de médula ósea

Download the paper version to play

Recommended age: 17 years old
83 times made

Created by

Ecuador

Top 10 results

There are still no results for this game. Be the first to stay in the ranking! to identify yourself.
Make your own free game from our game creator
Compete against your friends to see who gets the best score in this game

Top Games

  1. time
    score
  1. time
    score
time
score
time
score
 
game-icon

Médula ÓseaOnline version

Imágenes de médula ósea

by Wicent G
1

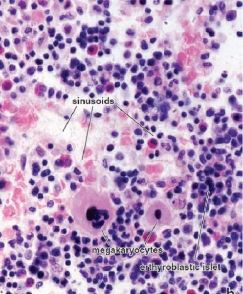
Escribe 2 estructuras de la siguiente muestra

Escoge una o varias respuestas

2

¿Qué tipo de médula ósea es?

3

¿Qué tipo de médula ósea es?

4

¿Dónde se encuentra la médula ósea roja?

5

¿Dónde se encuentra la médula ósea amarilla?

6

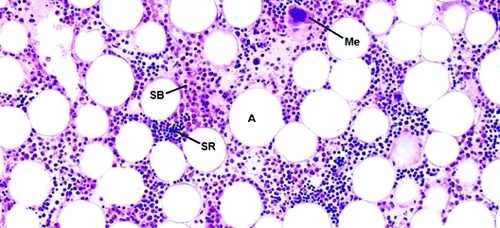
Aquí se puede identificar los tipos de médula ósea, ¿que tipo de hueso es? (Escriba con minúsculas)

Respuesta escrita

7

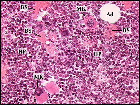
Identifique las estructuras de la imagen (son 5, escriba con letra minúscula)

Respuesta escrita

8

¿Cuál es el órgano que tenía función formadora de la sangre en casi toda la vida intrauterina?

9

¿Quienes presentan solo médula ósea roja?

10

Pueden pasar de médula ósea roja a amarilla y viceversa.

11

Por donde pasan las células provenientes de la médula ósea para poder circular (minúsculas)

Respuesta escrita

12

Señale 3 células que se pueden encontrar en el compartimiento hematopoyético

Escoge una o varias respuestas