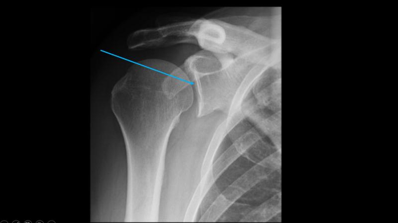
ANATOMIA RADIOLOGICA Online version Examen by Alexander Murillo Canizales 1 Con cuantos huesos nace el ser humano a Aproximadamente de 290 a 300 b Aproximadamente de 200 a 206 c Aproximadamente de 150 a 180 d Aproximadamente de 100 a 145 2 Hueso que se articula con el escafoides, segundo metacarpiano, trapecio y grande a Semilunar b Ganchoso c Trapezoide 3 Estructura que señala la flecha a Pedículo b Lamina c Apófisis articular superior 4 Estructura que se visualiza en el numero 15 a Seno frontal b Seno maxilar c Seno etmoidal 5 Que estructura se visualiza en el numero 8 a Apófisis clinoides anterior b Silla turca c Apófisis clinoides posterior 6 Que estructura esta señalada a Apófisis espinosa b Pedículo c Tubérculo posterior 7 Que estructura se encuentra señalada a Tabique nasal b Cornete nasal c Seno maxilar 8 Que estructura se visualiza en el numero 4 a Articulación tibioastragalina b Articulación Metacarpiana c Articulación subastragalina 9 Que estructura se visualiza en el numero 7 a Base del quinto metatarsiano b Base de la Falange proximal c Cuboides 10 Que estructura se visualiza en el numero 10 a Angulo hepático b Seno cardiofrénico c Seno costofrénico 11 Que estructura se visualiza en el número 13 a Carina b Callado aórtico c Tronco salida pulmonar 12 Que estructura se visualiza en el número 2 a Cuerpo vertebral T11 b Cuerpo vertebral L1 c Cuerpo vertebral T12 13 Que estructura se visualiza en el número 7 a Cuerpo vertebral L5 b Sacro c Articulación sacroilíaca 14 Que estructura se visualiza en el numero 8 a Articulación sacroilíaca b Articulación coxofemoral c S1 15 Que estructura se encuentra señalada a Cabeza Humeral b Apófisis coracoides c Tubérculo mayor d Tubérculo menor 16 Que estructura se encuentra señalada a Espina escapular b Articulación externoclavicular c Articulación acromioclavicular d Articulación glenohumeral 17 Que estructura se visualiza en el numero 10 a Aurícula derecha b Aurícula izquierda c Ventrículo Izquierdo 18 Que estructura se visualiza en el numero 6 a Articulación patelofemoral b Articulación femorotibial c Articulación tibioastragalina 19 Que estructura se visualiza en el numero 2 a Diáfisis femoral b Protuberancia tibial c Cóndilos femorales 20 Que estructura se visualiza en el numero 4 a Cabeza del radio b Olecranon c Apófisis coronoides d Tróclea