New game
Get Academic Plan

CROMOSOMOPATÍAS

Quiz

(136)
Como ya has revisado, las cromosomopatías resultan de una cantidad mayor o menor de material genético y son causa de anomalías congénitas entre
0.7 y 1.5% de los recién nacidos. Las cromosomopatías más comunes son aquéllas que tienen un número anormal de cromosomas, seguidas de las anomalías estructurales. En esta actividad responderás a un pequeño test para poner a prueba tus conocimientos en cromosomopatías, recuerda que puedes consultar el artículo de Esparza-García y colaboradores "Cromosomas, cromosomopatías y su diagnóstico. Rev Mex Pediatr 2017; 84(1):30-39" para asegurar tu éxito en la actividad. ¡Adelante!

Download the paper version to play

356 times made

Created by

Mexico

Top 10 results

  1. 1
    00:32
    time
    100
    score
  2. 2
    00:35
    time
    100
    score
  3. 3
    01:09
    time
    100
    score
  4. 4
    01:15
    time
    100
    score
  5. 5
    01:20
    time
    100
    score
  6. 6
    01:27
    time
    100
    score
  7. 7
    01:29
    time
    100
    score
  8. 8
    01:32
    time
    100
    score
  9. 9
    01:37
    time
    100
    score
  10. 10
    01:50
    time
    100
    score
Do you want to stay in the Top 10 of this game? to identify yourself.
Make your own free game from our game creator
Compete against your friends to see who gets the best score in this game

Top Games

  1. time
    score
  1. time
    score
time
score
time
score
 
game-icon

CROMOSOMOPATÍASOnline version

Como ya has revisado, las cromosomopatías resultan de una cantidad mayor o menor de material genético y son causa de anomalías congénitas entre 0.7 y 1.5% de los recién nacidos. Las cromosomopatías más comunes son aquéllas que tienen un número anormal de cromosomas, seguidas de las anomalías estructurales. En esta actividad responderás a un pequeño test para poner a prueba tus conocimientos en cromosomopatías, recuerda que puedes consultar el artículo de Esparza-García y colaboradores "Cromosomas, cromosomopatías y su diagnóstico. Rev Mex Pediatr 2017; 84(1):30-39" para asegurar tu éxito en la actividad. ¡Adelante!

by JORGE LIMON
1

¿Cuáles cromosomopatías son las más comunes?

2

Se llama así a las anomalías en las que sólo tienen un cromosoma de más o de menos.

Respuesta escrita

3

Esta técnica permite el estudio de los cromosomas.

4

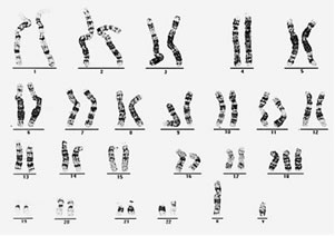
¿Cuál sería el fenotipo de de acuerdo al siguiente cariotipo?

5

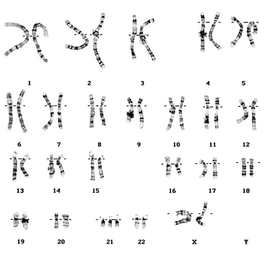
¿Cuál es el síndrome esperado en un paciente pediátrico con el siguiente cariotipo?

6

Es un trastorno cromosómico originado por la presencia de un cromosoma X extra en un paciente con fenotipo masculino.

7

En esta síndrome se aprecia la monosomía del cromosoma X y afecta a pacientes femeninos cuyo fenotipo es talla baja y disgenesia gonadal.

Respuesta escrita

8

En esta trisomía del cromosoma XIII a múltiples malformaciones, como el paladar hendido.

9

Es el segundo síndrome más común que afecta el número de autosomas y se debe a la presencia de un cromosoma 18 extra.

10

En esta anomalía hay eliminación de un segmento del brazo corto del cromosoma 5, y el fenotipo produce un llanto parecido al “maullido de gato” que se debe probablemente a anomalías laríngeas.

11

Estos pacientes tienen una trisomía, menciona en cuál cromosoma.

Respuesta escrita

Explicación

Las más comunes son aquéllas que tienen un número anormal de cromosomas, seguidas de las anomalías estructurales

Son los ejemplos de ello la trisomía 21 (un cromosoma 21 de más) y el síndrome de Turner o monosomía del X.

EXISTEN MUCHAS VARIANTES DE ESTA TÉCNICA PERO EN TODAS SE PUEDE APRECIAR EL NÚMERO DE CROMOSOMAS ASÍ COMO ALTERACIONES ESTRUCTURALES.

SI OBSERVASTE BIEN HAY DOS CROMOSOMAS SEXUALES X.

Si observaste bien hay una trisomía, es decir tres copias de un cromosoma.

Es un defecto en pacientes masculinos en el cromosoma 47 XXY.

aquí puede haber pérdida del cromosoma X o Y dejándo sólo al X.

. Las características clínicas comunes incluyen: labio/paladar hendido, microftalmia, microcefalia, polidactilia postaxial, malformaciones cardiacas.

Se caracteriza (Figura 5) por retraso en el crecimiento intrauterino, dolicocefalia, fisuras palpebrales cortas, micrognatia, pabellones auriculares dismórficos, piel redundante en nuca, malformaciones mayores.

Esta anomalía se origina por la eliminación de un segmento del brazo corto del cromosoma 5 en el que el tamaño de la deleción, puede abarcar la totalidad del brazo corto o sólo la región crítica 5p15.

Son pacientes con síndrome de Down, que es una trisomía.