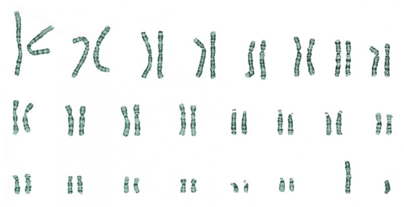
genética 9ºCOnline version Seleciona a única opção correta. by Sónia Marisa Lopes Ferreira 1 Como se designa o cruzamento de indivíduos de linhagem pura? a geração parental b geração pura c geração dominante d geração recessiva 2 Os indivíduos que possuem a mesma informação genética para uma dada característica dizem-se.... a heredogramas b heterozigóticos c homozigóticos d polizigóticos 3 Na imagem está representado o cariótipo de... a O cariópito de uma mulher, com 1 cromossoma x e outro y b o cariótipo de um homem, com 1 cromossoma x e outro y c o cariótipo de um homem, com 2 cromossomas x d o cariótipo de uma mulher, com 2 cromossomas x 4 Os cromossomas não ligados à determinação do sexo são... a heterossomas b autossomas c cariótipo d alelos 5 Os homozigóticos são indivíduos que possuem informação ... a genética diferente b iguais para uma caracteristica em estudo c mesma informação genética d linhagens puras 6 Que nome se dá aos genes que se encontram no 23º par de cromossomas, responsáveis pelo sexo do bebé? a autossoma b genótipo c heterossoma d carióripo 7 A informação genética de um indivíduo para uma determinada caracteristicas denomina-se de... a genótipo b heredograma c fenótipo d cariótipo 8 A caracteristica que se observa num indivíduo, resultante da expressão desse genótipo designa-se por... a fenótipo b genótipo c cromossomas d DNA 9 Este simbolo, da árvore genealógica, representa: a casamento b irmãos fraternos c gémeos dizigóticos d geméos monozigóticos 10 Quantos cromossomas tem a espécie humana? a 48 b 45 c 46 d 49 11 O que é um cariótipo? a Diagrama que representa reglações de parentesco. b cromossomas responsáveis pela determinação do sexo. c caracteristica que se observa num indivíduo d conjunto de cromossomas que caracterizam uma espécie 12 Quantos pares de cromossomas tem a espécie humana? a 23 pares b 22 pares c 46 pares d 25 pares Explicação 1 continua o bom trabalho 2 boa 3 boa 4 continua o bom trabalho 5 boa 9 boa 10 boa 11 boa 12 continua o bom trabalho