Icon New game New game

SOPA DE LETRAS

Alphabet

aparato reproductor femenino y masculino

Download the paper version to play

3 times made

Created by

Spain

Top 10 results

  1. 1
    03:31
    time
    68
    score
Do you want to stay in the Top 10 of this game? to identify yourself.
Make your own free game from our game creator
Compete against your friends to see who gets the best score in this game

Top Games

  1. time
    score
  1. time
    score
time
score
time
score
 
game-icon

SOPA DE LETRASOnline version

aparato reproductor femenino y masculino

by Daniel Naranjo Fernández
A
B
C
D
E
F
G
H
I
J
L
M
N
Ñ
O
P
Q
R
S
T
U
V
X
Y
Z

Empieza por A

En ella se sintetizan hormonas que son vertidas al torrente sanguíneo

Empieza por B

Dentro del páncreas endocrino, la célula produce insulina

Empieza por C

Esta alteración desencadena con obesidad en el sujeto distribuidos de una forma característica, denominada en “giba de búfalo”

Empieza por D

Es una patología que consiste en un déficit en la producción de la insulina, ocasionando de esta forma hiperglucemia en sangre

Empieza por E

¿ A que prueba pertenece esta imagen?

Contiene la F

Se encuentra localizada en la silla turca del hueso esfenoides

Empieza por G

Sus conductillos acaban drenando en la uretra, secretando un líquido que actúa de lubricante para esta.

Empieza por H

Escasez en el sangrado tanto por cantidad como por su duración

Empieza por I

Cuando se afectan estructuras superiores

Contiene la J

Dentro del pene esta formado por epitelio eréctil, formado por dos cuerpos cavernosos y un cuerpo...

Contiene la L

Es un grupo de células que segregan alguna sustancia e interviene en las más importantes funciones y procesos de nuestro organismo

Empieza por M

sangrado con origen en el útero, ya que se produce entre períodos menstruales

Empieza por N

La característica de esta estructura es que no fabrica sus propias hormonas, sino que se sintetizan en el hipotálamo

Contiene la Ñ

Actúa reabsorbiendo el calcio, disminuyendo su pérdida mediante la orina.

Empieza por O

Sangrados de frecuencia escasa y volumen normal.

Empieza por P

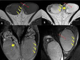
¿Qué se observa en la siguiente RM?

Contiene la Q

Dentro hormonas no esteroideas, esta la hormona derivadas del ácido...

Contiene la R

Hipófisis, también denominada como...

Empieza por S

Cuadro clínico manifestado antes de la menstruación.

Empieza por T

¿Qué se observa en esta imagen?

Empieza por U

¿ Qué se observa en la siguiente RM?

Empieza por V

Inflamación de la vulva y la vagina debido a la presencia de microorganismos patógenos

Contiene la X

La hormona que libera la neurohipófisis es la...

Contiene la Y

Se vacían las vesículas seminales enviando el contenido al conducto eyaculador tras la emisión de espermatozoides por parte del conducto deferente.

Contiene la Z

Las gónadas corresponden a los ovarios en el caso de las mujeres y los testículos en el hombre y en ella se formarán los gametos que estos son óvulos y...

educaplay suscripción